Reboot Your Brain in 20 Minutes: Discover Guided Deep Rest for Ultimate Stress Relief
SUMMARY TL;DR
Discover how personalized guided deep rest sessions disrupt stress cycles, calm your nervous system by activating its parasympathetic mode, and restore mental balance—backed by neuroscience insights and real-world success stories.
Why Yoga Nidra Works for Stress
What is Yoga Nidra?
Yoga Nidra, often referred to as yogic sleep, is a deeply restorative guided meditation practice rooted in ancient traditions. Unlike conventional sleep, this practice enables you to remain consciously aware while entering a state of profound relaxation. This state bridges the gap between active thinking and deep rest, offering a unique opportunity to reset the mind and body.
Interrupting the Stress Response
Yoga Nidra works by directly interrupting the body’s habitual stress response. By guiding you through a series of relaxation techniques, it activates the parasympathetic nervous system (the “rest and digest” mode rather than the “fight or flight” response). This shift not only calms your physical reactions to stress but also creates a window for mental clarity and recovery.
Parasympathetic Activation
When you engage in a Yoga Nidra session, your body is gently steered away from the adrenaline-fueled state of acute stress. The deliberate relaxation techniques help lower the release of stress hormones, allowing your body to transition into a state of healing and regeneration. This process is essential for reducing the cumulative effects of chronic stress on your overall health.
Deepening the Mind-Body Connection
Yoga Nidra encourages a heightened awareness of the subtle interplay between mind and body. As you progress through the guided session, you become more attuned to internal sensations and emotions (interoception). This enhanced awareness can lead to better recognition of stress triggers and, over time, a more effective ability to manage them. By routinely accessing this state of deep relaxation, you gradually build a buffer against everyday stressors, promoting overall well-being.

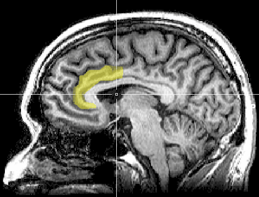
Highlighted region shows the anterior cingulate cortex, a region of the brain shown to be activated during meditation. Image by Geoff B Hall
When to do Yoga Nidra
You can do it anytime of the day, or night. Whenever you feel like it. Here are some common examples of when people like to do short guided deep rest sessions:
After Meals: Beat the Afternoon Slump
Post-meal periods can bring a natural dip in energy levels along with a spike in cortisol. A Yoga Nidra session during this time can help smooth out these fluctuations. With caffeine typically taking from 15 to 45 minutes to kick in, with peak effects occurring between 30 to 60 minutes after consumption, you could have a cup of coffee before your session, finishing it when the effects start.
Before High-Stakes Tasks
Engaging in a brief 5-minute session before important meetings or high-pressure tasks can significantly reduce anticipatory anxiety. Preparing your mind in this manner not only calms nerves but also enhances focus. With reduced heart rate variability and a clearer mental state, you are better equipped to tackle challenges with precision and confidence.
Between Work Blocks
Inserting micro-sessions of as little as 3 minutes between intense work periods can serve as a mental reset. These short breaks alleviate accumulated fatigue and help decrease frustration, allowing for smoother transitions between tasks. Regular, brief pauses keep your mind refreshed and maintain a high level of productivity over the course of the day.
Post-Workout Recovery
After physical exertion, your body often experiences a surge in cortisol. A dedicated 10-minute Yoga Nidra session post-workout assists in transitioning from a state of high alert to calm recovery. This practice not only supports the normalization of cortisol levels but also aids in muscle recovery and overall physical rejuvenation.
After Conflict or Stress
Following emotionally charged situations, such as an argument or stressful encounter, a 7-minute “emergency reset” session can be particularly beneficial. By quickly lowering adrenaline levels, Yoga Nidra helps restore emotional balance. This rapid intervention is especially useful for professionals in high-pressure roles, providing a timely pause to regain composure.
Yoga Nidra for Different Lifestyles
Corporate Innovators
Steve Jobs used meditation to navigate life. It is widely known that he read the book Autobiography of a Yogi by Paramahansa Yogananda over 40 times.

Book cover Autobiography of a Yogi by Paramahansa Yogananda First edition in 1946. Image by Tat Sat
If you limit yourself to observe the world, you'll see how restless your mind is. If you try and calm it down, it will only make things worse, but if you give it some time it will go appeasing, and when it does it leaves space to listen to more subtle things. Then your intuition starts to flourish and you begin to see things with greater clarity and live more in the present. Your mind stops racing so fast and you can see a tremendous dilatation of the present moment. You are able to see much more than you used to. It is a discipline: it takes practice.
― Steve Jobs speaking about meditation, from his biography by Walter Isaacson
For those constantly immersed in creative problem-solving, Yoga Nidra offers a powerful way to clear mental clutter. In fast-paced environments, a short session can open up space for innovative thinking by reducing stress and fostering a calm mental state. This clarity allows innovators to approach challenges from fresh perspectives, boosting creativity and efficiency.
Corporate Leaders
Modern executives like Marc Benioff, CEO of Salesforce says that he starts his day meditating from 30 to 60 minutes. It has been a huge part of his life for more than 30 years.
Leaders face relentless demands and high-stakes decision-making on a daily basis. Incorporating Yoga Nidra into their routines can cultivate a centered and focused mindset, essential for managing complex responsibilities. Regular practice helps in reducing stress and enhancing emotional regulation, which in turn supports more thoughtful, balanced leadership.
Athletes & Performers
NBA legend Michael Jordan is known to meditate daily and do pre-game sessions.
Physical performance is not solely about muscle strength; mental resilience plays an equally critical role. Athletes and performers benefit from Yoga Nidra by reducing performance anxiety and sharpening concentration. These sessions provide a mental edge, promoting a state of calm readiness that can improve both practice and performance in competitive environments.
Digital Creators
YouTuber Emma Chamberlain is an advocate for meditation, and how it helps with anxiety.
In the digital world, the pressure to constantly produce engaging content can lead to burnout and creative blocks. Yoga Nidra offers digital creators a structured break from the digital hustle, allowing them to reset and reduce anxiety. This mental pause helps in cultivating fresh ideas and maintaining a balanced approach to creative work, enhancing both productivity and overall well-being.
Healthcare Workers & First Responders
Yoga nidra helps decrease anxiety and improve overall stress management for healthcare professionals.
Those on the front lines of healthcare and emergency services face continuous, high-intensity stress. Yoga Nidra provides a practical tool to manage this pressure by reducing anxiety and promoting mental clarity. Regular sessions can help these professionals maintain composure, enabling them to make critical decisions effectively even in the midst of crisis.
Tailoring Yoga Nidra to Your Stress Profile
Generic Yoga Nidra tracks are great, but often miss individual needs. For example:
- They need to be available in your language
- You might not like the specific voice of the guide
- You might reuse too often the same sessions and it looses its effect
ZenPersonal addresses this by letting you design sessions around your purpose. Whether it’s stress relief after a tough meeting or creativity boosts before a project. You can be very specific about your pupose (e.g., “I'm stressed because I argued with my significant other about this and that”), and a tailored script will be created that addresses your problem with the techniques most fitted to help you. Additionally, you can set the details like voice, background track and so on.
It doesn't have to be 20 minutes
Any length has positive effects on your brain. Sessions work in 5, 10, 15, or 30-minute increments, and you can adapt them to your schedule. A busy parent might use 5 minutes during a child’s nap, while a CEO opts for 30 minutes before quarterly reviews.
If you're completely new start experimenting with short sessions, and overtime see what works best for you. Have fun!